CARACTERÍSTICAS:
-
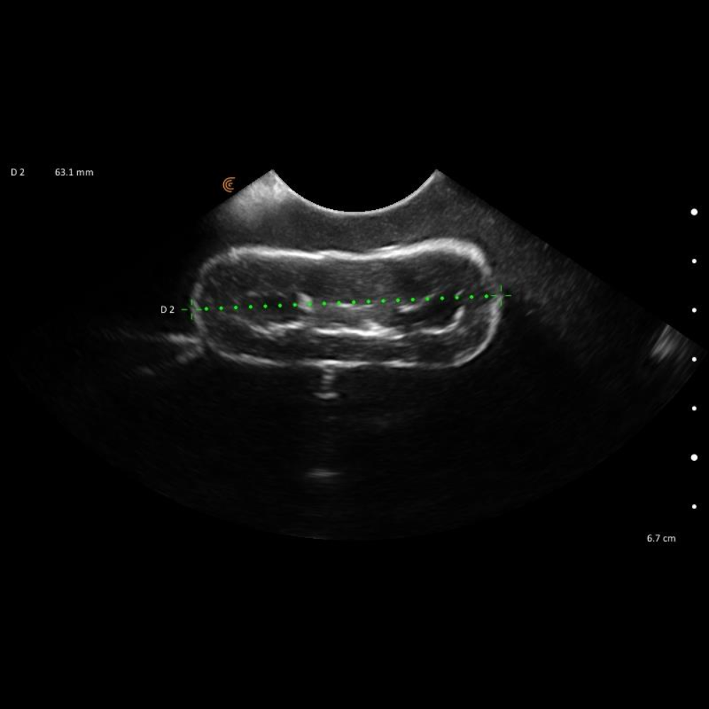
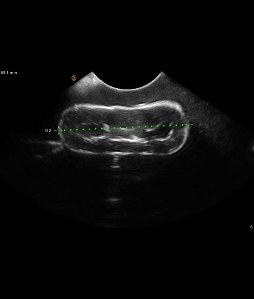
O phantom simula realisticamente a anatomia abdominal canina, com tecidos e órgãos representados com textura e ecogenicidade aproximadas, para que o usuário possa aprender a manipular o transdutor, ajustar parâmetros e identificar estruturas.
-
Permite treinamento de ultrassom abdominal em diferentes posições do “paciente” (ex: dorsal, lateral) para estimular o uso de planos múltiplos.
-
Inclui um “skills block phantom” (bloco de habilidades), com formas/estruturas específicas para prática de localização, mapeamento espacial e coordenação mão-olho.
-
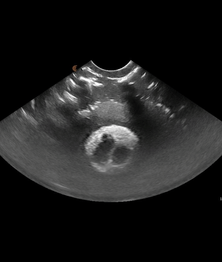
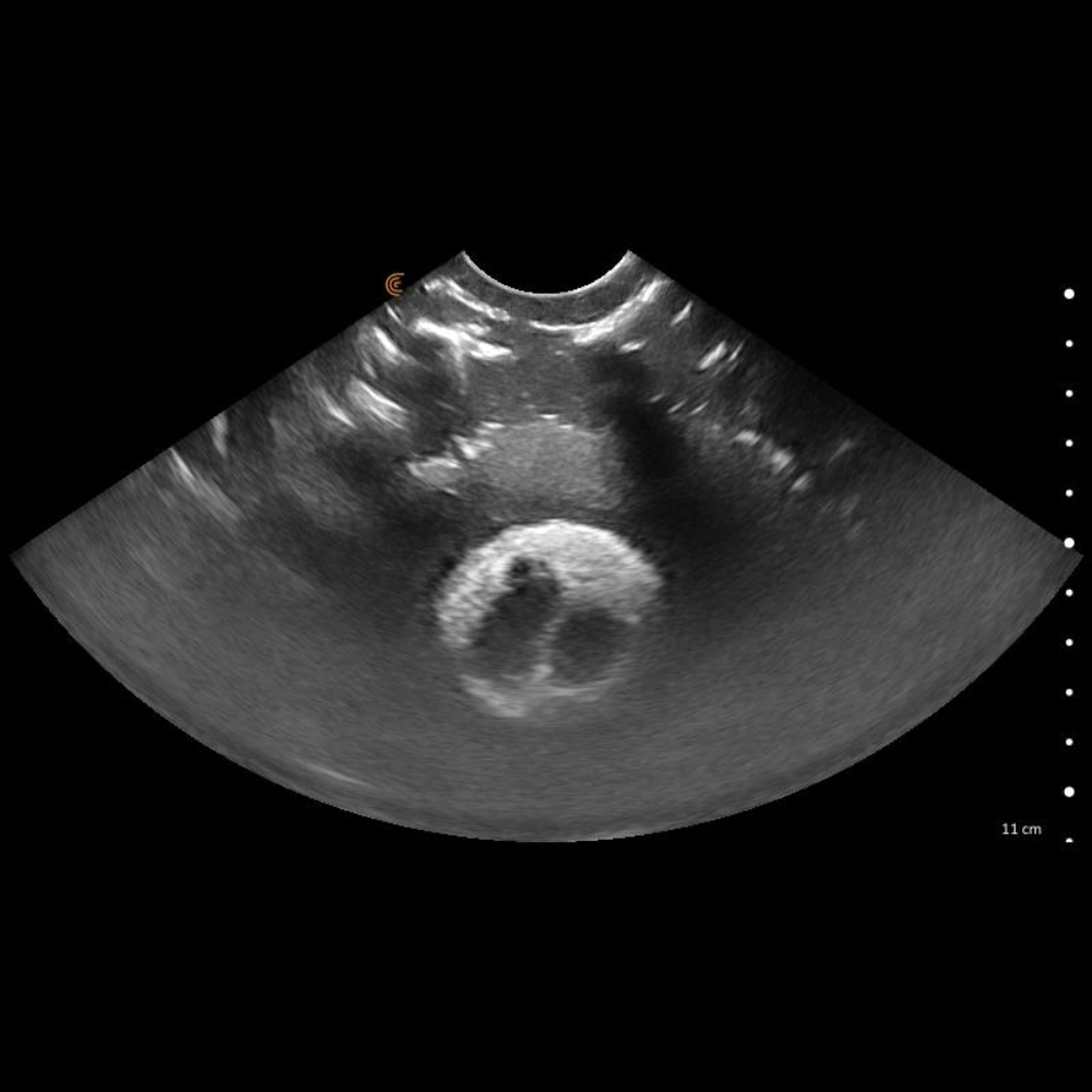
Também possui módulo para prática de punção guiada por ultrassom (renal / bloco de “renal mass phantom”) para treinar técnicas de agulha sob guia ultrassom.
-
Feito sob encomenda, com atenção artesanal, usando material apropriado para simular tecidos ecogênicos.
-
Estrutura com reservatório interno de fluido que permite fluxo (por exemplo, para simular fluxo urinário) quando a punção/cateterização é bem posicionada.
-
Simulação de resistência (sensação tátil) durante inserção de cateter, para treinar técnica em condição mais realista.
-
Compatível com diferentes equipamentos de ultrassom (probes / transdutores comuns) conforme aplicação didática.
| Item | Função |
|---|---|
| Silicone body com reservatório de fluido integrado | Estrutura principal do phantom que contém fluido para simulação de órgãos / fluxo interno |
| Inserto de silicone simulando vagina e uretra | Para prática de cateterização em cadelas femininas |
| Bexiga artificial | Para simulação de urina e prática de cateterização / fluxo de líquido |
| Adaptador urinário | Conector para fluxo / simulação de saída de líquido |
| Inserto de silicone para ânus | Parte da expressão anatômica, usada em simulações perirretal / proximidades |
| Base para o corpo | Estrutura de sustentação do phantom para fixação / posicionamento |


